Wir beraten Sie in unserer Praxis für Zahnerhaltung gerne zu allen Aspekten der modernen Zahnheilkunde. Wir bieten Ihnen für fast alle Bereiche Lösungen und Behandlungsmethoden an. Diese reichen von der Zahnerhaltung mit Füllungstherapie, Wurzelkanal- und Zahnleischbehandlung über Zahnersatz mit Kronen und Brücken bis hin zu Implantaten und Knochenaufbauten. Daneben bieten wir Ihnen Knirscheschienen, Schnarchschienen, Sportmundschutz und Zahnstellungskorrekturenen im Frontzahnbereich mit durchsichrigen Schienen (Alignerterapie) an.
Wir verwenden in unserer Praxis ausschließlich strahlungsarme, digitale Röntgengeräte. Neben einem 3D DVT-Panoramaröntgengerät haben wir in jedem Behandlungszimmer ein eigenes Kleinöntgengerät, mit dem wir alle notwendigen Röntgenaufnahmen zur Diagnose bequem auf dem Behandlungsstuhl durchführen können.
Alle zwei bis drei Jahre sollte eine röntgenologische Kariesfrüherkennungsuntersuchung durchgeführt werden. um Karies auch an versteckten Stellen, zum Beispiel in Zahnzwischenräumen und an unter dem Zahnfleisch liegenden Stellen rechtzeitig erkennen zu können. Durch die 3D Aufnahmetechnik können wir für die Implantologie und für die Endodontologie dreidimensionale Strukturen von Zähnen und Knochen darstellen.
Seit 2019 nutzen wir einen eigenen digitalen intraoral Scanner, mit dem wir die Zähne und Kiefer unserer Patienten dreidimensional aufnehmen können. Diese hoch präzisen Aufnahmen sind geeignet, um Kronen, Brücken (auch auf implantaten), sowie Prothesen und Schienen ohne einen konventionellen Abdruck herzustellen. Die unbeliebten Abdrücke mit Abdruckmaßen werden bei uns nur noch in Ausnahmefällen genommen.
Schöne Zähne und gesundes Zahnfleisch sind die Basis für ein schönes Lächeln. Wir bieten Ihnen mit non- und minimalinvasiven Methoden eine Verbesserung der Funktion und der Ästhetik Ihrer Zähne.
Falls ein Zahn trotz aller Bemühungen nicht erhalten werden kann, bieten sich Implantate als Substanz schon in der Ersatz an. Ein Implantat ist eine künstliche Zahnwurzel, die im Kieferknochen verankert wird. Darauf lässt sich eine Krone befestigen, mit der man wie auf einem natürlichen Zahn kauen kann. Somit kann das Abschleifen von gesunden Zähnen, z. B. für eine Brücke vermieden werden. Durch den Einsatz von dreidimensional Röntgen (DVT) wird eine besonders präzise Implantatsetzung ermöglicht. Man Kann vor der OP den Knochen vermessen und die Lage der Implantate digital planen.
Die Wurzelkanalbehandlung (Endodontologie) ist bei Entzündungen des Zahnmarks oder des Knochens an der Wurzelspitze die einzige Möglichkeit, einen Zahn dauerhaft zu erhalten. Es handelt sich hierbei um eine der schwersten und kompliziertesten Behandlungen, die an einem Zahn durchgeführt werden können. Wir nutzen daher in der Regel ein OP Mikroskops und ganz spezielle Techniken und Instrumente.
Zur Aufhellung ihre Zähne bieten wir Ihnen das klassischen Home- Bleaching mit individuell Schienen, als auch das Bleichen in der Praxis, (in-Office-Bleaching) an. Dabei werden ihre Zähne in 90 Minuten von unserem Team ganz entspannt heller gemacht. Für das Home Bleaching werden bei uns keine konventionellen Abdrücke genommen, sondern mit einem digitalen Scanner die Zähne dreidimensional aufgenommen.
Karies ist eine der häufigsten Zivilisationserkrankungen der Welt. Eine rechtzeitige und minimalinvasiver Behandlung ist das A und O für einen langfristigem Zahnerhalt. Moderne Materialien und ausgefeilte Techniken ermöglichen eine naturgetreue und minimalinvasive Rekonstruktion der kariesgeschädigten Zähne mit einer zahnfarbenen, keramikhaltigen Kompositffüllung.
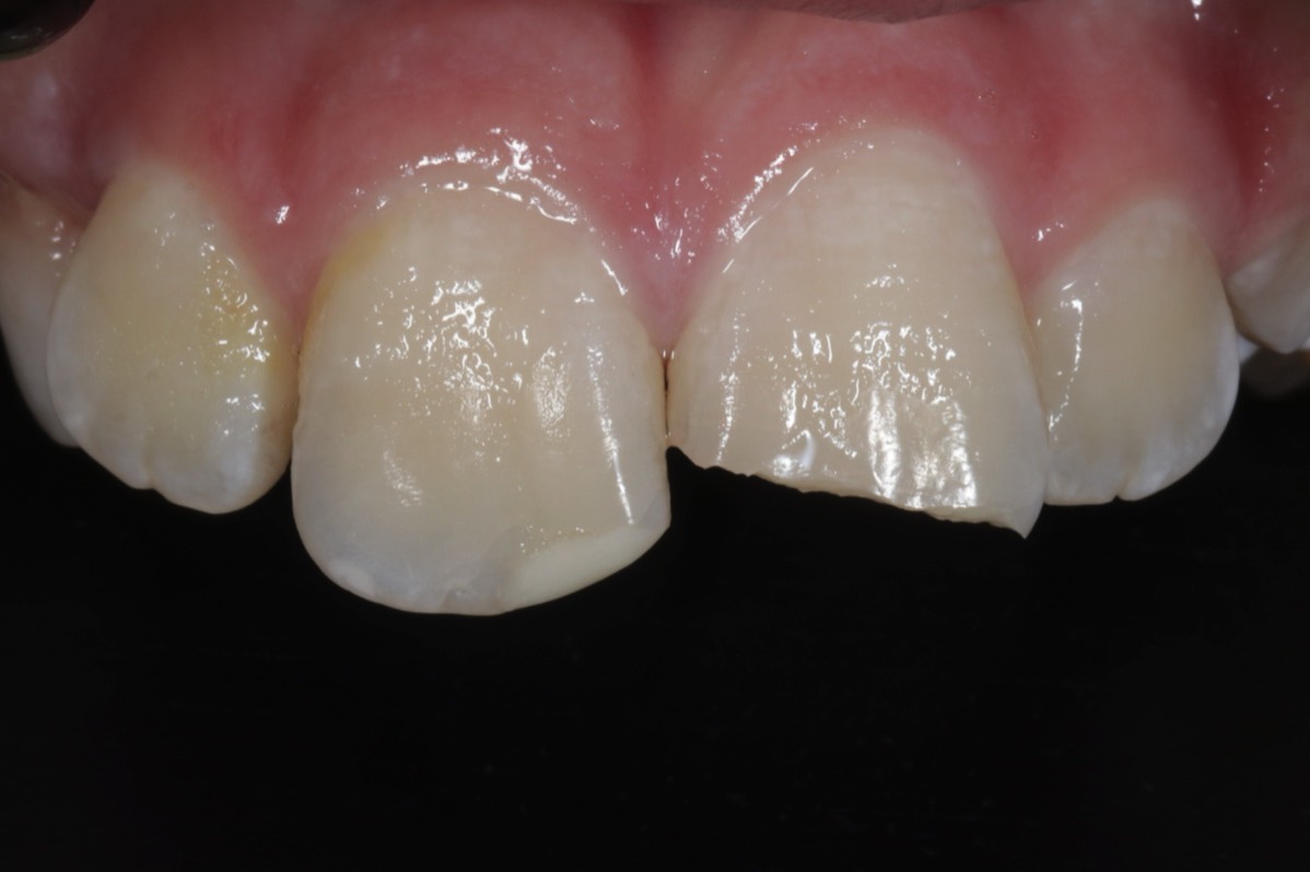
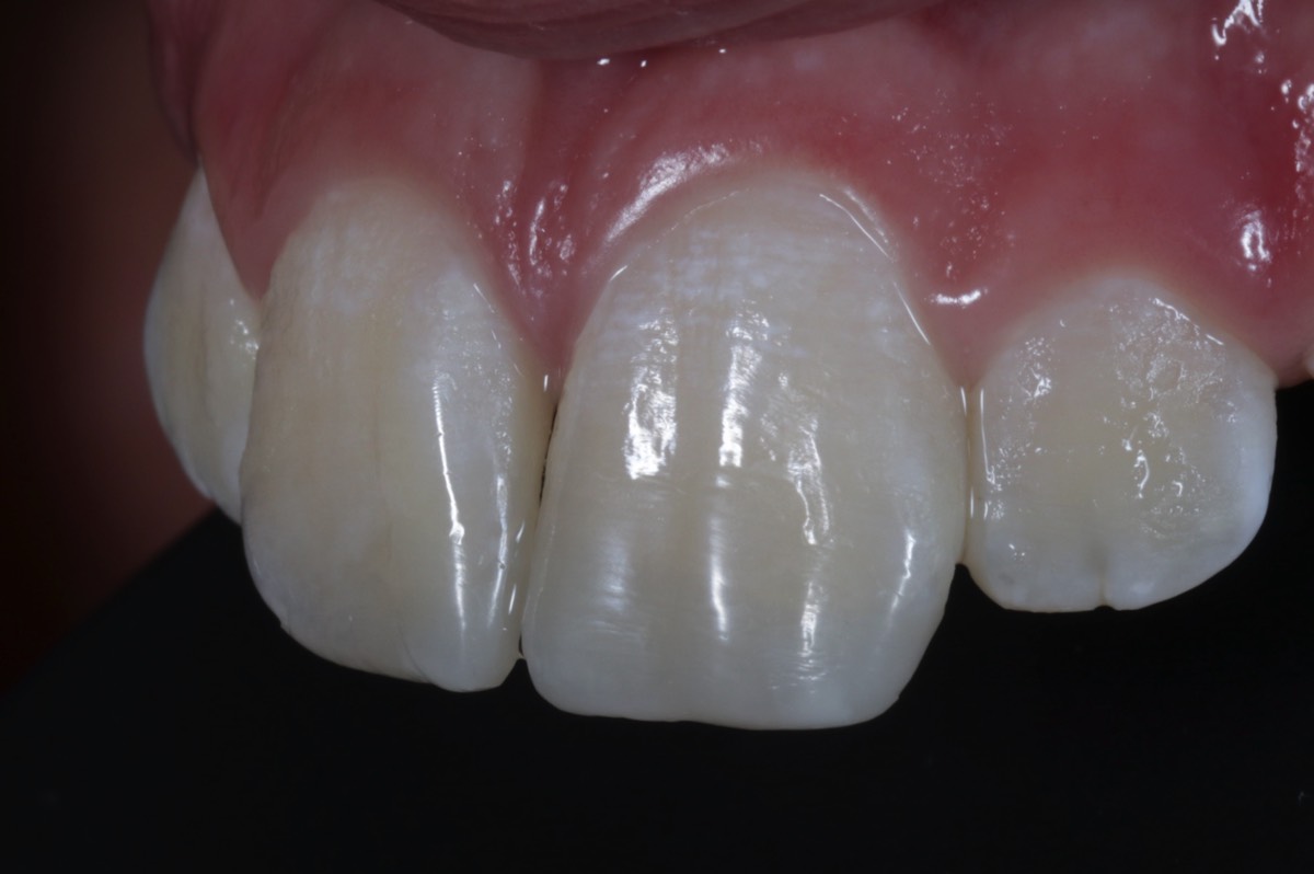
Nach einem Zahnunfall ist schnelle und Ziel gerichtete Hilfe sehr wichtig, um langfristige Schäden oder Zahnverlust zu vermeiden. So können z.B. abgebrochene, mitgebrachte Zahnfragmente, wieder angeklebt werden. Sogar ganz heraus geschlagene Zähne lassen sich unter Umständen wieder eingesetzen, wenn man diese fachgerecht lagert (Zahnrettungsbox) und schnell genug handelt.
Mit einem herzlichen, serviceorientierten Team in einer besonderen Zahnarzt-Praxis mit Wohlfühlambiente sorgen wir dafür, dass es Ihnen bei uns gut geht.
Dres. Denner & Denner
Zahnärzte im Medicum
Flemingstr. 5
36041 Fulda
Telefon 0661 – 480 177 60
Telefax 0661 – 480 177 61
praxis[@]dr-denner.de
© 2025 Dres. Denner & Denner. All rights reserved. Impressum · Privatsphäre